Can Lung Cancer Be Mistaken For Copd : What Are The Chances A Lung Nodule Or Spot Is Cancer Health Essentials From Cleveland Clinic - Pulmonary emboli are blood clots that have formed in other regions of the body and have then traveled to the lungs.
Dapatkan link
Facebook
X
Pinterest
Email
Aplikasi Lainnya
Can Lung Cancer Be Mistaken For Copd : What Are The Chances A Lung Nodule Or Spot Is Cancer Health Essentials From Cleveland Clinic - Pulmonary emboli are blood clots that have formed in other regions of the body and have then traveled to the lungs.. This, in turn, may cause collapse of the air sacs surrounding the tumor. Accurate diagnosis of copd is therefore critical. Symptoms often includeshortness of breath that gets progressively worse, coughing, and fatigue. Pneumonia in people with lung cancer. Copd has been linked to smoking, so simply not smoking, or quitting, will greatly reduce your risks of suffering from this condition.
When sarcoidosis affects the lungs, symptoms can mimic idiopathic pulmonary fibrosis including shortness of breath and a dry cough. The cause can be bacteria, a virus, or fungi. However, primary care physicians may have difficulty in classifying up to 20% of patients with obstructive pulmonary symptoms. Part of the dilemma for doctors is the significant overlap between copd symptoms and lung cancer symptoms. Lung cancer is an uncontrolled and uncoordinated overgrowth of the lung tissue.
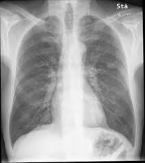
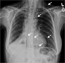
Hemoptysis Evaluation And Management American Family Physician from www.aafp.org Malignant tumors trigger inflammation in surrounding normal lung tissue, and they may obstruct your airways and interfere with normal airflow. This can lead to misdiagnosis as conditions such as irritable bowel syndrome (ibs). In this article they describe a variety of pulmonary conditions that can present with imaging features mimicking those of primary lung cancers. Pneumonia is a lung infection that leads to breathing difficulties and fluid in the lungs. When sarcoidosis affects the lungs, symptoms can mimic idiopathic pulmonary fibrosis including shortness of breath and a dry cough. Pneumonia can be mild and only require a week of treatment before you can. Pneumonia in people with lung cancer. Although slipping from emphysema to copd is usually not a drastic decline in health, early detection of lung cancer is critical for increasing your treatment options and improving your prognosis.
When detected in its earliest stages, lung cancer can often be successfully treated and sometimes even cured.
Lung cancer is an uncontrolled and uncoordinated overgrowth of the lung tissue. Malignant tumors trigger inflammation in surrounding normal lung tissue, and they may obstruct your airways and interfere with normal airflow. But, time is of the essence. Lung cancer itself is unlikely to increase the risk of coronavirus complications, however many lung cancer patients are older, having underlying lung disease, and decreased lung capacity, says. Having copd, like the habit of smoking, puts you at higher risk of developing lung cancer, heart disease and a range of other diseases and conditions that can worsen your prognosis and diminish. A fungal infection called valley fever, which can cause mild to severe lung problems (including holes in the lungs), is often misdiagnosed because the symptoms can resemble those of the flu or. Shoulder pain is also more likely to be a symptom of lung cancer if you have other symptoms of lung cancer, such as shortness of breath (this can be mild and only with activity,) a persistent cough, wheezing, hoarseness, coughing up blood, fatigue, or if you are losing weight for no reason. Chronic obstructive pulmonary disease copd is a term used for a group of obstructive lung diseases. That's because the symptoms of emphysema can easily conceal copd, and copd can conceal the presence of lung cancer. In these two shareposts we're going to look at lung conditions our readers have asked about, those that could be mistaken for copd. Pulmonary emboli are blood clots that have formed in other regions of the body and have then traveled to the lungs. Accurate diagnosis of copd is therefore critical. Chronic obstructive respiratory disease (copd) is considered an independent risk factor for lung cancer in more ways than one.
When sarcoidosis affects the lungs, symptoms can mimic idiopathic pulmonary fibrosis including shortness of breath and a dry cough. Approximately 1% of copd patients develop lung cancer every year, which may be associated with genetic susceptibility to cigarette smoke. Symptoms often includeshortness of breath that gets progressively worse, coughing, and fatigue. By the time the doctor recognizes that treatment has not worked and more testing or a specialist is needed, valuable time is wasted. Chronic obstructive respiratory disease (copd) is considered an independent risk factor for lung cancer in more ways than one.
Risk Factors Of Lung Cancer In Chronic Obstructive Pulmonary Disease Download Scientific Diagram from www.researchgate.net Part of the dilemma for doctors is the significant overlap between copd symptoms and lung cancer symptoms. A fungal infection called valley fever, which can cause mild to severe lung problems (including holes in the lungs), is often misdiagnosed because the symptoms can resemble those of the flu or. Copd is a major risk factor for lung cancer. This, in turn, may cause collapse of the air sacs surrounding the tumor. We'll also look at some methods and medical tests commonly used. But, time is of the essence. But recent evidence suggests that copd itself is an independent risk factor for developing lung cancer, separate from any smoking history. By the time the doctor recognizes that treatment has not worked and more testing or a specialist is needed, valuable time is wasted.
Copd has been linked to smoking, so simply not smoking, or quitting, will greatly reduce your risks of suffering from this condition.
Can lung cancer be mistaken for copd? If the condition is misdiagnosed or its symptoms are ignored, a patient may not receive appropriate treatment until the cancer has progressed to an advanced stage. Shoulder pain is also more likely to be a symptom of lung cancer if you have other symptoms of lung cancer, such as shortness of breath (this can be mild and only with activity,) a persistent cough, wheezing, hoarseness, coughing up blood, fatigue, or if you are losing weight for no reason. When sarcoidosis affects the lungs, symptoms can mimic idiopathic pulmonary fibrosis including shortness of breath and a dry cough. Various viruses, bacteria, and fungi can cause pneumonia. Inflammatory mediators may promote the growth of bronchioalveolar. Patients with both lung cancer and copd often have cough and/or shortness of breath, the. This test can also be used to look for masses in the adrenal glands, liver, brain, and other organs that might be due to the lung cancer spread. However, the symptoms of lung cancer differ vastly from bronchitis which is one of the commonest affections of chronic smokers. Despite the importance of all the causes mentioned by the authors, we would like to emphasize the relevance of fungal infections as an important cause of pulmonary nodules and masses that can mimic lung. Pulmonary emboli are blood clots that have formed in other regions of the body and have then traveled to the lungs. Pancreatic cancer may be diagnosed as diabetes, due to the fact that diabetes is often a symptom or risk factor of pancreatic cancer. Pneumonia in people with lung cancer.
Lung cancer is an uncontrolled and uncoordinated overgrowth of the lung tissue. When sarcoidosis affects the lungs, symptoms can mimic idiopathic pulmonary fibrosis including shortness of breath and a dry cough. That's because the symptoms of emphysema can easily conceal copd, and copd can conceal the presence of lung cancer. It is well known that chronic obstructive pulmonary disease (copd) is a significant risk factor for lung cancer. We'll also look at some methods and medical tests commonly used.
Early Detection Of Copd Is Important For Lung Cancer Surveillance European Respiratory Society from erj.ersjournals.com Copd has been linked to smoking, so simply not smoking, or quitting, will greatly reduce your risks of suffering from this condition. But, time is of the essence. When detected in its earliest stages, lung cancer can often be successfully treated and sometimes even cured. In this article they describe a variety of pulmonary conditions that can present with imaging features mimicking those of primary lung cancers. Pulmonary emboli are blood clots that have formed in other regions of the body and have then traveled to the lungs. However, the symptoms of lung cancer differ vastly from bronchitis which is one of the commonest affections of chronic smokers. Pancreatic cancer may also be misdiagnosed as gallstones or pancreatitis, or the inflammation of the pancreas. Can lung cancer be mistaken for copd?
When detected in its earliest stages, lung cancer can often be successfully treated and sometimes even cured.
Lung cancer develops due to the overgrowth of. This test can also be used to look for masses in the adrenal glands, liver, brain, and other organs that might be due to the lung cancer spread. A fungal infection called valley fever, which can cause mild to severe lung problems (including holes in the lungs), is often misdiagnosed because the symptoms can resemble those of the flu or. It can also show the size, shape, and position of any lung tumors and can help find enlarged lymph nodes that might contain cancer that has spread. Keep in mind that the symptoms of lung cancer in women. However, primary care physicians may have difficulty in classifying up to 20% of patients with obstructive pulmonary symptoms. That's because the symptoms of emphysema can easily conceal copd, and copd can conceal the presence of lung cancer. Despite the importance of all the causes mentioned by the authors, we would like to emphasize the relevance of fungal infections as an important cause of pulmonary nodules and masses that can mimic lung. That's because copd and lung cancer share common causes, including cigarette smoking and premature lung aging. Accurate diagnosis of copd is therefore critical. Furthermore, lung cancer symptoms, such as a persistent cough, back pain or weight loss, can resemble a cold or bronchitis and may not raise suspicions of lung cancer. Part of the dilemma for doctors is the significant overlap between copd symptoms and lung cancer symptoms. Other lung diseases, such as tuberculosis (tb) and chronic obstructive pulmonary disease (copd), also create a risk for lung cancer.
How Cancer Can Affect Your Relationship - What You Eat Can Affect Your Risk of Cancer - Both of you may experience sadness, grief, and anxiety. . Even close families or couples who have been together for a long time can have problems. When cancer rears it's ugly head into your relationship, you need to start stretching. Cancer and its treatment have many effects on patients that are relevant to their social and intimate relationships. Going through an experience like cancer can make relationships stronger. Any changes to your body may affect your confidence and feelings about yourself as a woman. For those living with cancer, changes that affect roles and relationships in your daily life may be especially challenging. Sleeping problems may be a risk factor for developing certain types of cancer. Both of you may experience sadness, grief, and anxiety. Cancer and its treatment have many effects on patients that are relevant to their social and intimate relationship...
Making Inferences Task Cards : Making Inferences Task Cards by The Teacher Studio | TpT : Students will need to use clues within the text to infer their answers. . Students will need to use clues within the text to infer their answers. Each requires the reader to fill in blanks left out by the author. I love using these task cards as short daily practices for students. Text says explicitly and to make logical inferences from it; Use them orally in small groups, or individually as a writing assignment at a literacy center. Cite specific textual evidence when writing or speaking to support conclusions drawn from the text. Cards provide guided support to help students learn to effectively read between the lines in both fiction and nonfiction texts. Model to the class how to use clues to make inferences. Making inferences about 24 task cards! Each requires the reader to fill in blanks left out by the author. ...
Make Payment Of Icici Credit Card : Amazon Pay Icici Bank Credit Card On Boards Over Two Million Customers / Click on 'proceed' and enter your credit card number, as required. . It will show you the interest rates and emi tenures available for the transaction. Follow the steps given below: Choose the one you want to convert to emi. As a result, icici bank debit card comes into use for this process. Also, it has no joining or annual fees and provides additional benefits when you shop from amazon. Customers need to wave their smartphone at the nfc enabled merchant terminals to make the payments. Icici bank website allows you to generate a qr code for your credit card payment, which can be used on any upi app to make payments. Amazon pay icici bank credit card. In this scenario customer will have to call from the registered mobile number and provide the card details. It needs to be mentioned that icici bank allows credit card users to make their payments throug...
Komentar
Posting Komentar